Dr.FRED KRIEGEL Overview
-
Specialties
-
Procedures
-
Insurances We Work With
Profile Description
In 1980, I received a DMD (Doctor of Dental Medicine) degree from the Boston University School of Graduate Dentistry. I was then accepted into the post-graduate certification program in Fixed Prosthodontics at Emory University. While in training, I acquired a license to practice dentistry in the State of Georgia and did so in Atlanta for two years. After finishing the residency program in 1982, I returned to New York and started a specialty practice in Prosthodontics in Hartsdale, N.Y. In 1983, I was offered the position of assistant clinical professor in Fixed Prosthodontics at Columbia University School of Dental Surgery. After two years teaching, I returned to practice on a full time basis. Having already enjoyed 25 years of practice, I applied and was accepted into the prestigious Fellowship program in Implant Dentistry at the New York University College of Dentistry. Upon completion in 2009, I returned as an assistant clinical professor in the Dept. of Periodontics and Implant Dentistry. I take great pride and pleasure in teaching advanced studies to young aspiring dentists who come here from many countries, the world over. I have been an active member of the American College of Prosthodontics and Northeast Gnathological Society since 1982. I have also been an active member of the Academy of Osseointegration since 1995. Over the years, I have been a guest lecturer at several dental study clubs in Westchester County. I am always determined to advance the knowledge of prosthodontics and implantology to dentists and indirectly in turn to their patients.
Languages spoken
Professional Memberships
Awards and Publications
Provider's suggested pricing (may vary depending on actual work):
Dr.FRED KRIEGEL's office locations
Location Map
Patient reviews for Dr.FRED KRIEGEL
Overall rating
Wait time rating
Staff rating
Write Review
Pictures & Videos
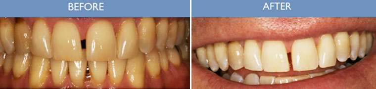
Before/After

Youtube Video's
Q&A
Frequently Asked Questions
Q.How soon can I make an appointment with Dr.FRED KRIEGEL?
Ans.Generally, Dr. FRED KRIEGEL has appointments available on 1teethinday.com within 1 week. You can see Dr. KRIEGEL's earliest availability on 1teethinday.com and make an appointment online.
Q.Is Dr. FRED KRIEGEL accepting new patients?
Ans.Dr. FRED KRIEGEL generally accepts new patients on 1teethinday.com. You can see Dr. KRIEGEL's earliest availability on 1teethinday.comand schedule an appointment online.
Q.Does Dr. FRED KRIEGEL accept my insurance?
Ans.Choose your insurance plan to verify if Dr. KRIEGEL is in-network.
Q.Can I make an appointment with Dr. FRED KRIEGEL online?
Ans.Yes, you can make an appointment online with Dr. KRIEGEL using 1teethinday.com. It’s simple, secure, and free.
Q.What practice does Dr. FRED KRIEGEL work with?
Ans.Dr.FRED KRIEGEL works with Fred C. Kriegel, DMD
Q.Where is Dr. FRED KRIEGEL’s office located?
Ans.Dr. FRED KRIEGEL's office is located at 180 E HARTSDALE AVE, HARTSDALE, NY, 10530.
Q.What are common reasons for patients to see Dr. FRED KRIEGEL?
Ans.Dr. FRED KRIEGEL frequently sees patients for Dental Cleaning, Dental Consultation, Dental Emergency, Dental Preventive Care, and Filling. You can see other visit reasons for Dr. FRED KRIEGEL on their profile.
Q.What languages does Dr. FRED KRIEGEL speak?
Ans.Dr.FRED KRIEGEL speaks English. At this Fred C. Kriegel, DMD English are spoken.
Q.How do patients rate Dr. FRED KRIEGEL in reviews?
Ans.0 patients have reviewed Dr. FRED KRIEGEL. The overall rating for this doctor is 0.0/5. They have a 0.0/5 rating for staff and a 0.0/5 rating for wait time. Practice is rated as 0.0/5. You can read individual reviews and ratings on their profile.
Q.Are fixed payment plans for specific treatments available with this Denitst?
Ans.NO